SAHO Animal Hospital

Why is dental care important?
Improves quality of live and longevity
Removes active infection
Freshens bad breath
SAHO Comprehensive Oral Health Assessment and Treatment Start to Finish Checklist
Pre-anesthetic Comprehensive Physical Exam -
Performed primarily to ensure your pet has no physical abnormalities that indicate they may not be healthy enough to undergo anesthesia. Secondarily, there may be skin tags or other minor surgical corrections that we will recommend taking care of while your pet is already under anesthesia.
Pre-anesthetic Bloodwork (Hematology and Chem 10) –
This enables us to identify medical problems we can’t see on the physical exam that might affect your pets ability to handle anesthesia. In some cases bloodwork changes may just cause a change in the anesthesia protocol. If there are more serious abnormalities, we will cancel the procedure and find out why.
Intravenous Catheter –
An IV catheter is important to administer medications for anesthesia and deliver IV fluids during the procedure to keep your pet hydrated and to maintain their blood pressure during the procedure. It also acts as a safeguard to give intravenous medications immediately in rare cases of adverse events.
Intravenous Fluids –
See above.
Injectable Induction Agent (Propofol) –
Propofol is the safest medication to induce anesthesia long enough for us to place an endotracheal tube (tube that goes directly to the lungs) so that we can administer oxygen and an extremely safe gas anesthesia.
Gas Anesthesia –
Gas anesthesia is the safest way to maintain anesthesia for medium to longer procedures. Once the procedure is complete and the gas is removed, patients wake up very quickly with little to no “hangover” effect. Anesthesia is VITAL to a proper dental cleaning. Doing a dental cleaning on an awake animal, even if they behave perfectly, is dangerous and incomplete. The most severe problems occur below the gum line which can only be addressed under anesthesia.
MultiParameter Monitor –
Just like when you go under anesthesia, we monitor everything to make sure anesthesia goes smoothly. Our monitor constantly monitors temperature, respirations, pulse oximetry, blood pressure, end tidal CO2, and electrocardiogram.
Bair Hugger Warming Blanket –
The most common reason patients have anesthesia problems is getting cold from being under too long. The Bair Hugger is used on all of our patients and keeps their temperature normal throughout the procedure.
Full Mouth Scaling with a Piezo Scaler –
Piezo scalers clean the teeth completely without causing any damage to teeth or soft tissue as older technologies can. It is used to clean safely above and below the gum line.
Full Mouth Charting –
Once the teeth are clean then we evaluate each tooth and give it a health grade based on stand dental charting and those charts become part of your pets permanent record to use in follow up dental cleanings or treatments.
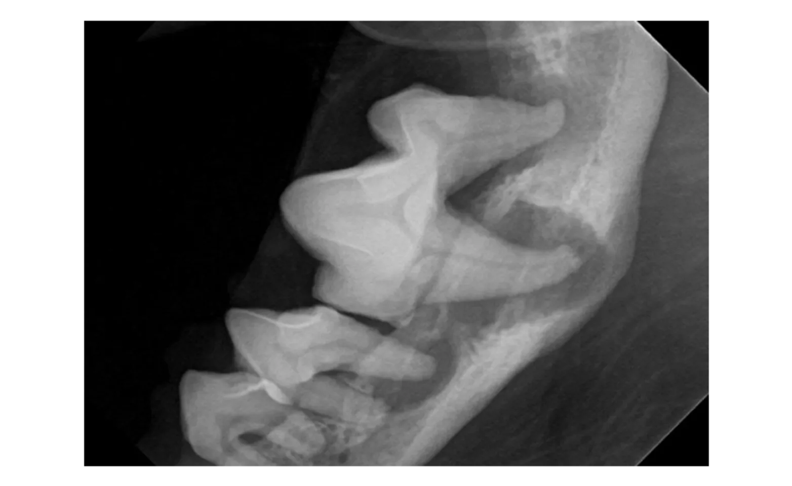
Full Mouth Digital Dental Radiographs –
More than half the tooth is under the gum line where we can’t see. Studies show that more than half of the patients receiving a dental cleaning WITHOUT dental radiographs will be sent home with untreated, painful conditions.
Polishing –
This is an important final step to leave the tooth surface as smooth as possible. Bacteria are more likely to attach to a rough surface.
Monitoring from start to finish –
Your pet will be under the care of either the Veterinarian or a highly qualified surgical nurse or both from the time the procedure starts until they are COMPLETELY awake and recovered. This is vital to avoid very preventable anesthetic complications.
