SAHO Animal Hospital

Dental Services
Studies show that over 50% of dogs and cats suffer from an element of periodontal disease. It is recommended that every adult dog and cat have dental evaluations performed by their veterinarian at least once a year. While that is usually done during an annual wellness exam, we do offer complimentary dental consultations to determine if you pet is in need of a professional dental cleaning.
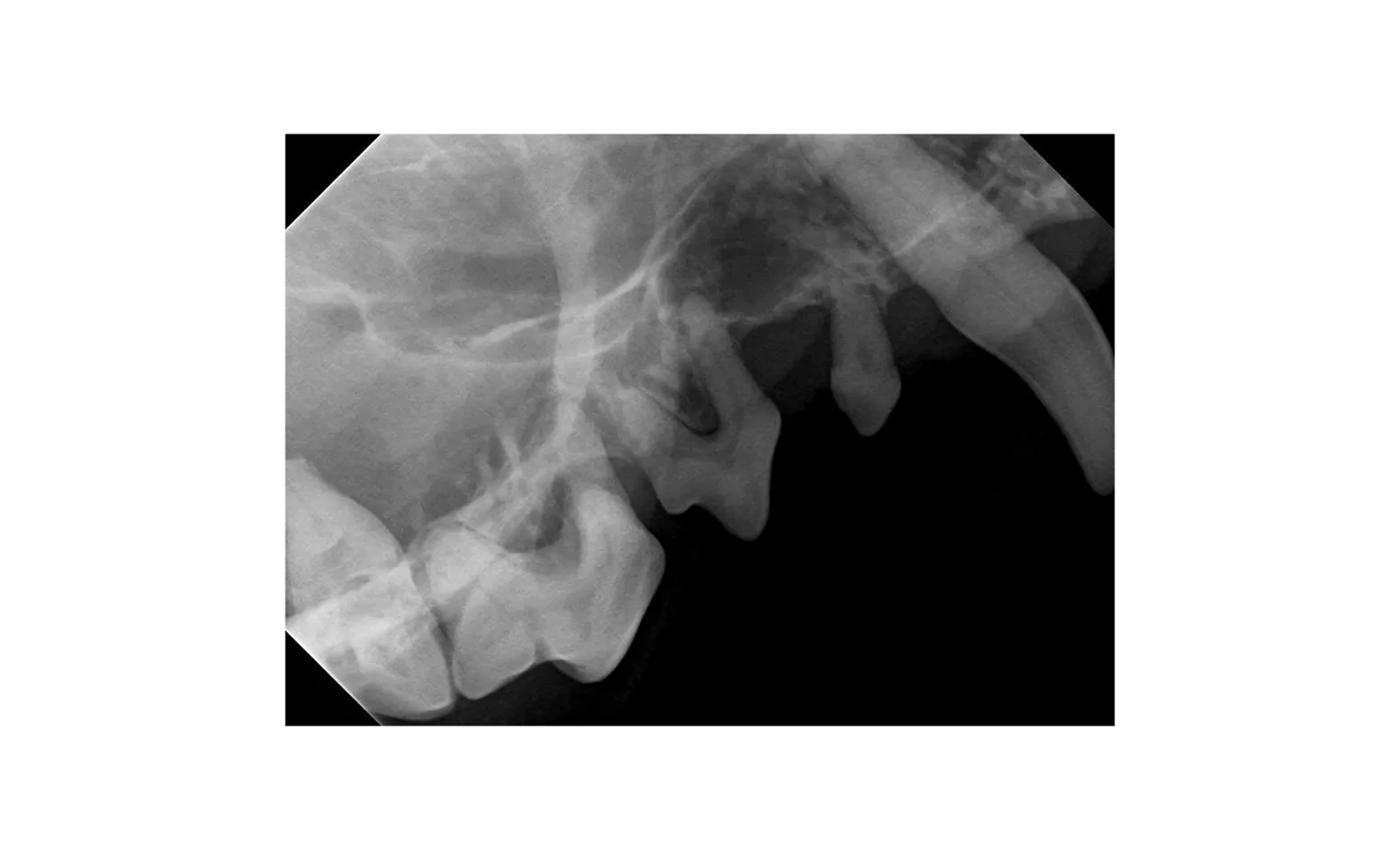
A large portion of your pet’s teeth reside underneath the gum-line. So, most of the bacteria build-up and excess food debris that causes significant inflammation and deterioration of the gums are almost impossible to see. Our digital radiographs allow us to see the condition of the teeth below the gum-line, and we can ensure that your pet’s teeth are truly cleaned with our ultrasonic scaler. Our recommended dental services ensure that your pet receives the highest quality dental care possible.
